St Mark Group
Book your appointment at Monterey for Invisalign, Braces, Veneers & Implants 

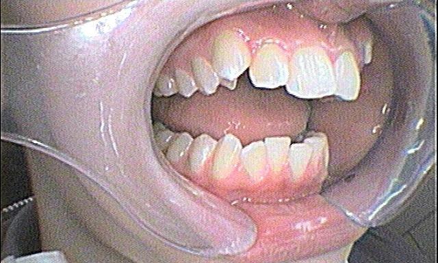
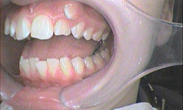
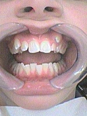
Orthodontics

Surgical Warning: Every form of surgery has a possibility of a complication and these are given to you in detail by Drs @stmarkgroup. It is a good idea to understand your surgical procedure well, and to obtain further advice from another Specialist / Dental surgeon . "All photographs represent one person's experience, and results may vary for each patient. All photographs are of actual patients of Dr Ishak. The visible change in these photographs has occurred as a result of the procedure/s undertaken.
Some before and after photos shown are not exact, in that they vary in light, contrast, clothing, background, distance from camera, hairstyle and make-up."

Service Performed By:

Dr Evet Ishak
Not finding what you need?