Smile Gallery: Braces and Invisalign
*The images shown in our Smile Gallery are examples of dental treatments provided at our practice. Individual results will vary depending on each patient's dental needs and circumstances.


Surgical Warning: Every form of surgery has a possibility of a complication and these are given to you in detail by Drs @stmarkgroup. It is a good idea to understand your surgical procedure well, and to obtain further advice from another Specialist / Dental surgeon . "All photographs represent ...


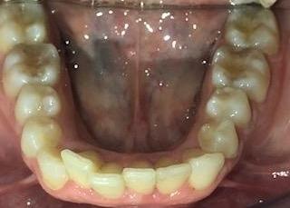
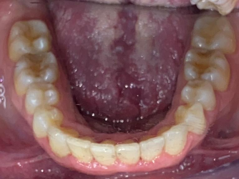
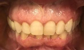
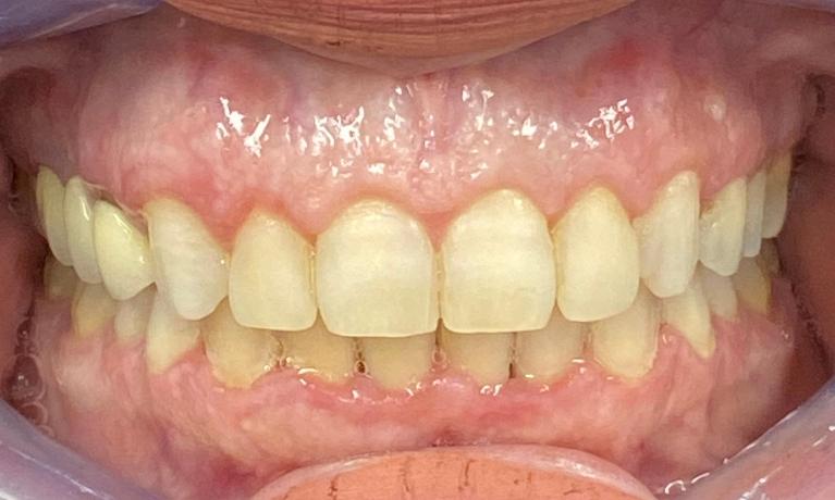
Class III Open Bite with tongue thrust
Surgical Warning: Every form of surgery has a possibility of a complication and these are given to you in detail by Drs @stmarkgroup. It is a good idea to understand your surgical procedure well, and to obtain further advice from another Specialist / Dental surgeon . "All photographs represent one person's experience, and results may vary for each patient. All photographs are of actual patients of Dr Ishak. The visible change in these photographs has occurred as a result of ...






Surgical Warning: Every form of surgery has a possibility of a complication and these are given to you in detail by Drs @stmarkgroup. It is a good idea to understand your surgical procedure well, and to obtain further advice from another Specialist / Dental surgeon . "All photographs represent one person's experience, and results may vary for each patient. All photographs are of actual patients of Dr Ishak. The visible change in these photographs has occurred as a result of the procedure/s undertaken.




Surgical Warning: Every form of surgery has a possibility of a complication and these are given to you in detail by Drs @stmarkgroup. It is a good idea to understand your surgical procedure well, and to obtain further advice from another Specialist / Dental surgeon . "All photographs represent one person's experience, and results may vary for each patient. All photographs are of actual patients of Dr Ishak. The visible change in these photographs has occurred as a result of the procedure/s undertaken.




Surgical Warning: Every form of surgery has a possibility of a complication and these are given to you in detail by Drs @stmarkgroup. It is a good idea to understand your surgical procedure well, and to obtain further advice from another Specialist / Dental surgeon . "All photographs represent one person's experience, and results may vary for each patient. All photographs are of actual patients of Dr Ishak. The visible change in these photographs has occurred as a result of the procedure/s undertaken.




Surgical Warning: Every form of surgery has a possibility of a complication and these are given to you in detail by Drs @stmarkgroup. It is a good idea to understand your surgical procedure well, and to obtain further advice from another Specialist / Dental surgeon . "All photographs represent one person's experience, and results may vary for each patient. All photographs are of actual patients of Dr Ishak. The visible change in these photographs has occurred as a result of the procedure/s undertaken.




Surgical Warning: Every form of surgery has a possibility of a complication and these are given to you in detail by Drs @stmarkgroup. It is a good idea to understand your surgical procedure well, and to obtain further advice from another Specialist / Dental surgeon . "All photographs represent one person's experience, and results may vary for each patient. All photographs are of actual patients of Dr Ishak. The visible change in these photographs has occurred as a result of the procedure/s undertaken.




Surgical Warning: Every form of surgery has a possibility of a complication and these are given to you in detail by Drs @stmarkgroup. It is a good idea to understand your surgical procedure well, and to obtain further advice from another Specialist / Dental surgeon . "All photographs represent one person's experience, and results may vary for each patient. All photographs are of actual patients of Dr Ishak. The visible change in these photographs has occurred as a result of the procedure/s undertaken.


Class III Anterior Crossbite - Phase I treatment
2x4 Correction in Progress
Surgical Warning: Every form of surgery has a possibility of a complication and these are given to you in detail by Drs @stmarkgroup. It is a good idea to understand your surgical procedure well, and to obtain further advice from another Specialist / Dental surgeon . "All photographs represent one person's experience, and results may vary for each patient. All photographs are of actual patients of Dr Ishak. The visible change in these photographs ...


Surgical Warning: Every form of surgery has a possibility of a complication and these are given to you in detail by Drs @stmarkgroup. It is a good idea to understand your surgical procedure well, and to obtain further advice from another Specialist / Dental surgeon . "All photographs represent one person's experience, and results may vary for each patient. All photographs are of actual patients of Dr Ishak. The visible change ...




Surgical Warning: Every form of surgery has a possibility of a complication and these are given to you in detail by Drs @stmarkgroup. It is a good idea to understand your surgical procedure well, and to obtain further advice from another Specialist / Dental surgeon . "All photographs represent one person's experience, and results may vary for each patient. All photographs are of actual patients of Dr Ishak. The visible change in these photographs has occurred as a result ...